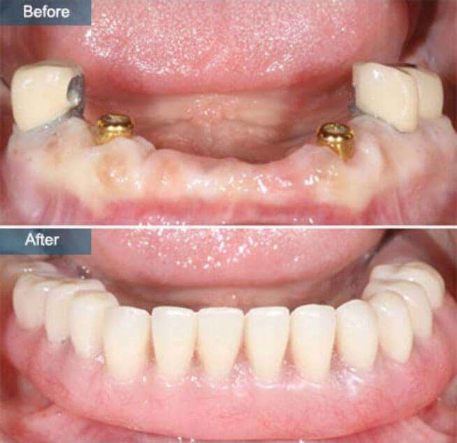
Incredible results and inspiring journeys; see some of our patients' before and after photos next time you visit our practice.
Incredible results and inspiring journeys; see some of our patients' before and after photos next time you visit our practice.
Monday: 8 AM–6 PM
Tuesday: 9 AM–6 PM
Wednesday: 8 AM–5 PM
Thursday: 8 AM–6 PM
Friday: 8 AM–5 PM
Saturday: 9 AM–1:30 PM
Sunday: Closed